What Is an Orthodontic Mini-screw ?

TADs (Temporary Anchorage Devices) are tiny titanium screws (6-12 mm long, 1.2-2 mm in diameter) temporarily placed in the jawbone.

They serve as fixed anchorage points for precise and controlled tooth movements — movements that were impossible with traditional orthodontics.

Why “temporary”?

  • Placed only for the duration of treatment
  • Easily removed at the end, without anesthesia
  • Leave no trace after removal
  • Unlike permanent dental implants
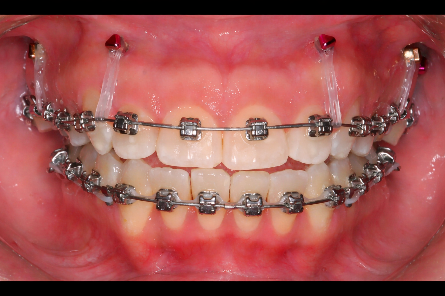
Orthodontic TAD mini-screw placement in clinic by Dr Benguira

Absolute Anchorage: The Revolutionary Concept

The Problem with Traditional Orthodontics

In traditional orthodontics, neighbouring teeth are used as anchorage. But these teeth also move slightly — limiting the range of movement. Pulling back front teeth by pulling on molars also slightly advances the molars.

The Mini-screw Solution

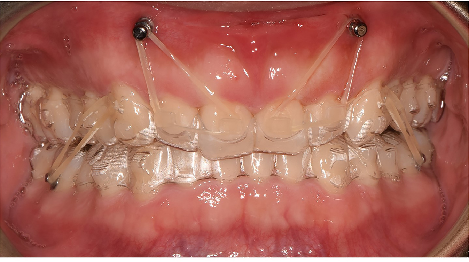
TADs anchor in the bone, not in the teeth. This absolute anchorage does not move, allowing:

  • Unmatched dental positioning precision
  • Large-scale movements
  • Avoiding unwanted effects on other teeth
  • Results previously impossible without surgery
Orthodontic TAD mini-screw inserted in the gum for skeletal anchorage

What Cases Can Mini-screws Treat ?

TAD mini-screws for anterior open bites with braces

Anterior Open Bites

The front teeth do not touch when closing. The traditional approach often requires surgery. TADs allow molar intrusion to close the open bite without surgery.

TAD mini-screws for dental asymmetries and protraction

Dental and Facial Asymmetries

Misalignment of the dental midline or tilting of the occlusal plane. TADs correct the plane and reposition the teeth relative to the face.

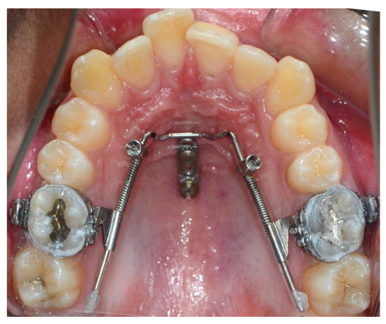
TAD mini-screws for molar distalization

Molar Distalization

Molars too far forward creating crowding. TADs push the back teeth backward, creating space without extractions.

TAD mini-screws with clear aligners for complex cases

Complex Adult Cases

For adults who cannot or do not wish to undergo orthognathic surgery, mini-screws offer a viable alternative with excellent results.

Placement: Simple and Quick

1

3D Planning (CBCT)

3D imaging to plan the optimal position and avoid sensitive anatomical structures. 3D-printed surgical guide.

2

Local Anesthesia

Like a dental filling. No general anesthesia, no incision.

3

Insertion (less than 15 minutes)

The screw passes directly through the gum into the bone. Minimal discomfort, comparable to a bracket adjustment.

4

Immediate Activation

Connection to brackets or aligners via elastics or springs. The mini-screw works silently 24/7.

No time off work required. Resume normal activities the same day.

Mini-screws vs Orthognathic Surgery

Aspect Mini-vis (TADs) Surgery
Hospitalization None 1-2 days
Anesthesia Local General
Recovery A few days 4-6 weeks
Risks Minimal Higher
Cost Included in treatment Higher
Success rate >85% Very high

Note: In severe skeletal discrepancies, the chirurgie orthognathique remains the optimal treatment.

During Treatment with Mini-screws

Barely Noticeable

After a few days of adjustment, the mini-screw becomes unnoticeable. No daily discomfort.

Works 24/7

Connected to brackets or aligners via elastics or springs, it exerts a constant and controlled force.

Simple Hygiene

Normal brushing around the screw. No special maintenance required.

Duration

Stays in place for a few months to 1-2 years depending on goals. Removed in seconds, without anesthesia.

Reversible

Can be repositioned if necessary. No permanent damage to bone or teeth.

Compatible

Works equally well with traditional brackets and clear aligners.

Recommended Blog Article

Complex Case? Let's Explore Your Options.

Free orthodontic consultation to assess whether mini-screws can help you achieve your goals without surgery.

Related Services

Dental Braces

Learn more →

Orthognathic Surgery

Learn more →

Adult Orthodontics

Learn more →

Dr David Benguira

Board-certified orthodontist with over 20 years of experience, Dr Benguira completed his orthodontic training at the Université de Montréal following a doctorate in dental medicine. A recognized specialist on the North Shore, he combines clinical expertise and cutting-edge technology to deliver outstanding results for every patient.

Ordre des dentistes du Québec Quebec Association of Orthodontists Invisalign Certified LightForce Certified
Learn more about Dr Benguira →
Dr David Benguira, Orthodontist in Saint-Eustache