Comment ça fonctionne

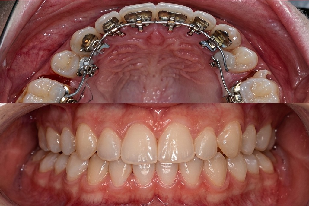
L'orthodontie linguale utilise le même principe que les broches traditionnelles, mais avec une différence cruciale : les brackets sont fixés sur la face interne des dents, côté langue.

Un fil orthodontique traverse ces brackets et exerce les forces nécessaires pour déplacer vos dents vers leur position idéale. Le résultat? Un traitement complet et efficace, sans que personne ne remarque que vous portez un appareil.

Cette technique exige une expertise spécialisée et une formation avancée, mais offre une discrétion impossible à égaler avec d'autres méthodes.

Broches linguales placees derriere les dents
Avantages

Pourquoi choisir le lingual?

Broches linguales invisibles

100% invisible

Même de très près, personne ne peut voir vos broches. Idéal pour les professionnels et les personnes soucieuses de leur image.

Broches linguales efficaces

Efficacité complète

Peut corriger tous les cas, y compris les plus complexes. Aucune limitation par rapport aux broches traditionnelles.

Protection de la face visible des dents

Protège la face visible

Aucun risque de tâches blanches ou de décoloration sur la surface visible des dents.

Pour qui?

L'orthodontie linguale s'adresse particulièrement aux adultes et adolescents plus âgés qui souhaitent corriger leur sourire sans que personne ne le sache.

Idéal pour :

  • Les professionnels en contact avec le public (avocats, médecins, vendeurs, enseignants)
  • Les artistes et personnes médiatisées
  • Les adultes soucieux de leur image professionnelle
  • Les adolescents plus âgés qui refusent les broches visibles

Si l'esthétique est une priorité absolue pour vous, l'orthodontie linguale offre la discrétion maximale.

Couple souriant avec sourire parfait grâce à l'orthodontie linguale
Processus

Votre parcours lingual

1

Évaluation initiale

Consultation complète pour déterminer si vous êtes un bon candidat. Examen clinique et radiographies 3D.

2

Empreintes 3D

Prise d'empreintes numériques ultra-précises de vos dents pour fabriquer vos brackets sur mesure.

3

Fabrication personnalisée

Vos brackets sont fabriqués sur mesure en laboratoire spécialisé. Délai : 4 à 6 semaines.

4

Pose de l'appareil

Installation des brackets sur la face interne de vos dents. Séance de 2 à 3 heures.

5

Ajustements réguliers

Rendez-vous toutes les 12 semaines pour ajuster le fil et suivre votre progression.

6

Résultat final

Retrait de l'appareil et mise en place d'une contention pour maintenir votre nouveau sourire.

Période d'adaptation

Comme tout appareil orthodontique, les broches linguales demandent une période d'adaptation. Voici à quoi vous attendre :

Semaine 1-2 : Légère gêne à la langue et petite difficulté d'élocution. Votre langue doit s'habituer à la présence des brackets. La plupart des patients retrouvent une élocution normale en 7 à 14 jours.

Semaine 3+ : L'adaptation est généralement complète. Vous oubliez même que vous portez un appareil.

Nous vous donnons tous les outils et conseils pour faciliter cette transition et minimiser l'inconfort.

Modèle d'orthodontie linguale
FAQ

Questions fréquentes

Est-ce que c'est douloureux? +

La douleur est similaire aux broches traditionnelles : légère sensibilité dentaire pendant 2-3 jours après chaque ajustement. La langue peut être un peu irritée les premiers jours, mais s'adapte rapidement. Des analgésiques en vente libre suffisent généralement.

Est-ce que je peux manger normalement? +

Oui, avec quelques précautions. Évitez les aliments trop durs (noix, glace) et collants (caramel, gomme). Les premiers jours, privilégiez les aliments mous. Après adaptation, vous pouvez manger presque normalement.

Combien de temps dure le traitement? +

La durée est similaire aux broches traditionnelles : 18 à 24 mois en moyenne pour les cas standards. Les cas complexes peuvent nécessiter jusqu'à 30 mois. Votre plan de traitement personnalisé vous donnera une estimation précise.

Est-ce que ça affecte ma façon de parler? +

Temporairement, oui. Les premiers jours, vous aurez un léger zozotement ou difficulté avec certaines consonnes (S, T, D). La plupart des patients retrouvent une élocution normale en 7 à 14 jours. Pratiquer la lecture à voix haute accélère l'adaptation.

Prêt pour l'invisibilité totale?

Découvrez si l'orthodontie linguale est faite pour vous lors d'une consultation gratuite en orthodontie.

Services connexes

Invisalign

En savoir plus →

Orthodontie adulte

En savoir plus →

Broches dentaires

En savoir plus →

Dr David Benguira

Orthodontiste certifié avec plus de 20 ans d'expérience, Dr Benguira a complété sa formation en orthodontie à l'Université de Montréal après un doctorat en médecine dentaire. Spécialiste reconnu sur la Rive-Nord, il combine expertise clinique et technologies de pointe pour offrir des résultats exceptionnels à chaque patient.

Ordre des dentistes du Québec Association des orthodontistes du Québec Certifié Invisalign Certifié LightForce
En savoir plus sur Dr Benguira →
Dr David Benguira, orthodontiste à Saint-Eustache