Qu'est-ce que les boîtiers fixes ?

Les boîtiers fixes — aussi appelés broches sont de petits attaches (en métal ou céramique) collées sur chaque dent. Un fil orthodontique les relie et exerce une pression contrôlée pour déplacer progressivement vos dents.

C'est le traitement orthodontique le plus éprouvé au monde. Il peut corriger 100% des types de malocclusions, des cas les plus simples aux plus complexes : chevauchement, espaces, décalages de mâchoires, problèmes de morsure.

Que vous choisissiez des broches métalliques classiques ou des boîtiers céramiques plus discrets, vous bénéficiez d'un contrôle précis en 3D de chaque mouvement dentaire.

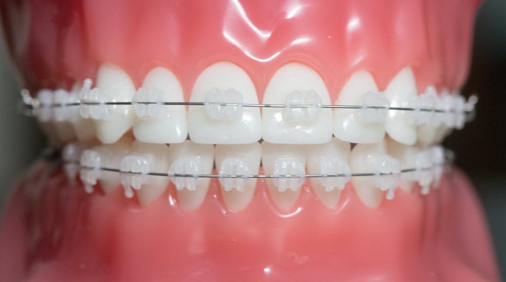
Boîtiers fixes en clinique - Dr Benguira

Types de boîtiers disponibles

Broches métalliques orthodontiques

Métalliques

Les broches classiques. Robustes, efficaces et économiques. Idéales pour les enfants et adolescents qui peuvent personnaliser leurs élastiques avec des couleurs amusantes.

  • Durabilité maximale
  • Coût le plus abordable
  • Élastiques colorés disponibles
Broches en céramique transparentes

Céramique

De couleur dent, beaucoup plus discrets que le métal. Même efficacité, mais avec une esthétique améliorée. Idéal pour les adultes soucieux de leur apparence.

  • Très discrets
  • Ne se tachent pas
  • Aussi efficaces que le métal
Broches auto-ligaturantes

Auto-ligaturants

Sans élastiques, système de porte intégrée. Moins de friction sur le fil, ce qui peut réduire l'inconfort et espacer les rendez-vous.

  • Confort amélioré
  • Nettoyage plus facile
  • Rendez-vous potentiellement plus espacés
Broches avec ligatures de couleurs personnalisees

Pourquoi choisir les broches ?

  • Corrigent tous les cas des simples aux complexes, aucune limitation
  • Pas de discipline requise elles travaillent 24h/24 sans que vous ayez à y penser
  • Résultats éprouvés des décennies de recherche et de succès cliniques
  • Robustes et fiables idéales pour les enfants et ados actifs
  • Options colorées les enfants adorent personnaliser leurs élastiques
  • Adaptées à tous les âges de l'enfance à l'âge adulte

Que vous optiez pour le métal ou la céramique, vous obtenez la même qualité de traitement et les mêmes résultats exceptionnels.

Le processus de traitement

1

Consultation gratuite en orthodontie

Examen complet, scan 3D, radiographies si nécessaire. Dr Benguira élabore votre plan de traitement personnalisé et vous présente toutes vos options.

2

Pose des boîtiers

Rendez-vous d'environ 1h30 à 2h. Chaque boîtier est collé avec précision sur vos dents, puis un fil orthodontique est inséré pour commencer le mouvement.

3

Ajustements réguliers

Rendez-vous toutes les 4 à 6 semaines. Dr Benguira change le fil, ajuste la pression et vérifie la progression. Chaque visite dure 20-30 minutes.

4

Résultat final

Une fois l'objectif atteint, les broches sont retirées. Vous découvrez votre nouveau sourire !

5

Rétention à vie

Pour maintenir vos résultats, un fil de contention est collé derrière vos dents. Port d'une gouttière de nuit aussi recommandé.

Questions fréquentes

Est-ce que ça fait mal ? +

La pose elle-même est totalement indolore. Dans les jours qui suivent, et après chaque ajustement, vous pouvez ressentir un inconfort léger ou une sensibilité des dents pendant 2-3 jours. C'est normal et des analgésiques en vente libre peuvent aider.

Combien de temps dure le traitement ? +

En moyenne 12 à 24 mois, selon la complexité de votre cas. Les corrections simples peuvent être terminées en moins d'un an, tandis que les cas complexes peuvent nécessiter jusqu'à 30 mois. Lors de votre consultation, Dr Benguira vous donnera une estimation précise.

Qu'est-ce que je peux manger ? +

Vous pouvez manger la plupart de vos aliments préférés, mais évitez les aliments très durs (glace, noix entières, bonbons durs) et très collants (caramel, gomme à mâcher). Ces aliments peuvent décoller un boîtier ou briser le fil. Vous recevrez une liste complète lors de la pose.

Comment nettoyer mes broches ? +

Brossez-vous les dents après chaque repas pendant 2 minutes, en nettoyant autour de chaque boîtier. Utilisez une brossette interdentaire ou du fil orthodontique spécial pour nettoyer sous le fil. Un jet d'eau (Waterpik) peut aussi aider. Une bonne hygiène est essentielle pour éviter les taches et les caries.

Prêt à sourire?

Consultation gratuite en orthodontie. Découvrez quelle option de boîtiers vous convient le mieux.

Services connexes

Dr David Benguira

Orthodontiste certifié avec plus de 20 ans d'expérience, Dr Benguira a complété sa formation en orthodontie à l'Université de Montréal après un doctorat en médecine dentaire. Spécialiste reconnu sur la Rive-Nord, il combine expertise clinique et technologies de pointe pour offrir des résultats exceptionnels à chaque patient.

Ordre des dentistes du Québec Association des orthodontistes du Québec Certifié Invisalign Certifié LightForce
En savoir plus sur Dr Benguira →
Dr David Benguira, orthodontiste à Saint-Eustache