Pourquoi accélérer?

Un traitement orthodontique traditionnel dure en moyenne 18 à 24 mois. Pour certains patients, cette durée peut représenter un obstacle important.

Vous avez peut-être un événement important qui approche : un mariage, une graduation, une promotion professionnelle. Ou simplement l'envie légitime d'obtenir votre nouveau sourire plus rapidement.

L'orthodontie accélérée utilise des techniques scientifiquement prouvées pour stimuler le remodelage osseux et réduire significativement votre temps de traitement, sans compromettre la qualité du résultat.

Patiente utilisant le dispositif VPro pour accélérer son traitement orthodontique
Méthodes

Comment nous accélérons

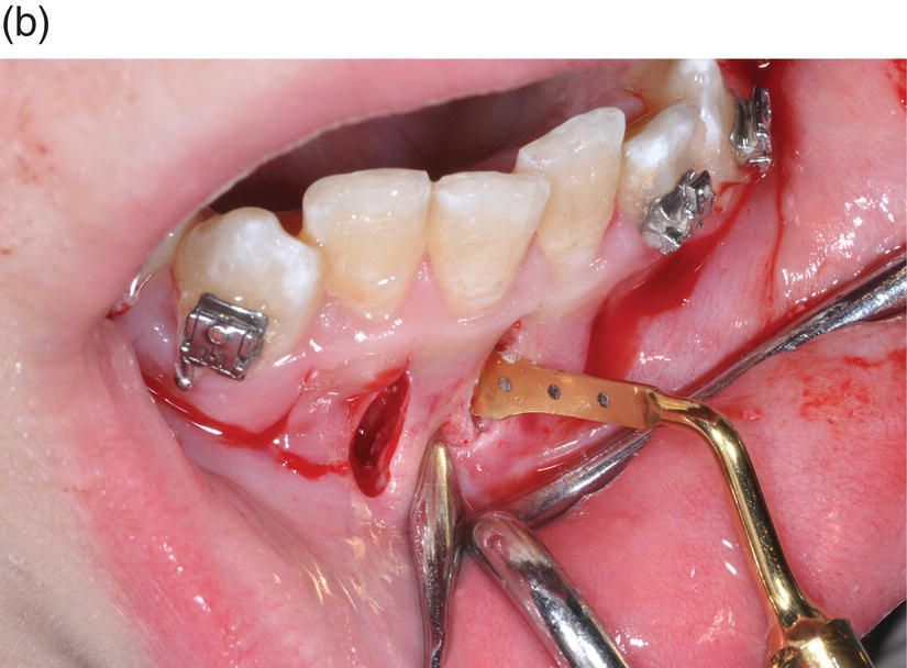
Micro-ostéoperforations pour accélérer le traitement orthodontique

Micro-ostéoperforations

Petites perforations dans l'os autour des dents pour stimuler le remodelage osseux. Procédure rapide et peu invasive. Réduction de 50-60% du temps de traitement.

Appareil de vibrations orthodontiques

Vibrations (VPro/AcceleDent)

Dispositif vibratoire utilisé 20 minutes par jour à la maison. Stimule la circulation et le remodelage osseux. Réduction de 30-50% du temps de traitement.

Corticotomie orthodontique

Corticotomie

Incisions mini-invasives dans l'os cortical pour faciliter le mouvement dentaire. Réservée aux cas complexes. Réduction de 60-70% du temps de traitement.

Photobiomodulation dentaire, lumière LED pour accélérer le traitement orthodontique

Photobiomodulation

Lumière LED spécialisée pour stimuler la régénération cellulaire et accélérer le mouvement dentaire. Non invasif, sans douleur. Peut réduire le temps de traitement de 25%.

Qui est candidat?

L'orthodontie accélérée ne convient pas à tous les patients. Voici les critères principaux :

Candidats idéaux :

  • Adultes en bonne santé parodontale
  • Patients motivés et disciplinés
  • Personnes avec un événement important dans 12-18 mois
  • Non-fumeurs (le tabac ralentit la guérison)
  • Absence de maladies systémiques affectant la guérison

Lors de votre consultation, nous évaluerons soigneusement votre cas pour déterminer si l'accélération est appropriée et quelle méthode conviendrait le mieux.

Techniques d'orthodontie acceleree

Notre approche

Chez MonOrthodontiste, nous croyons que la qualité ne doit jamais être sacrifiée pour la vitesse.

C'est pourquoi nous :

  • Évaluons minutieusement chaque cas pour déterminer si l'accélération est appropriée
  • Recommandons honnêtement la meilleure approche, même si elle n'inclut pas d'accélération
  • Suivons de près votre progression avec des rendez-vous plus fréquents
  • Ajustons notre stratégie si nécessaire en cours de traitement

Notre objectif : vous offrir le meilleur résultat possible, dans le temps le plus court possible, sans compromis sur la santé de vos dents et gencives.

Micro-osteoperforation Propel pour orthodontie acceleree
FAQ

Questions fréquentes

Est-ce que c'est douloureux? +

Cela dépend de la méthode. Les vibrations et la photobiomodulation sont totalement indolores. Les micro-ostéoperforations causent un léger inconfort pendant 24-48h, similaire à un ajustement orthodontique classique. La corticotomie nécessite une anesthésie locale et une période de guérison de quelques jours.

Est-ce que la qualité du résultat est affectée? +

Non. Les études scientifiques montrent que l'orthodontie accélérée produit des résultats identiques aux traitements conventionnels en termes de qualité, de stabilité et de santé parodontale. Nous accélérons le mouvement dentaire, pas la qualité du traitement.

Peut-on combiner plusieurs méthodes? +

Oui, dans certains cas. Par exemple, micro-ostéoperforations + vibrations quotidiennes peuvent être combinées pour maximiser l'accélération. Nous déterminons la meilleure combinaison selon votre cas spécifique, vos objectifs et votre budget.

Combien de temps puis-je gagner concrètement? +

Si votre traitement conventionnel durerait 20 mois, avec accélération modérée (vibrations), vous pourriez terminer en 12-14 mois. Avec accélération agressive (micro-ostéoperforations ou corticotomie), possiblement 8-10 mois. Chaque cas est unique; nous vous donnerons une estimation précise après évaluation.

Accélérez vers votre sourire

Découvrez combien de temps vous pourriez gagner lors d'une consultation gratuite en orthodontie.

Services connexes

Invisalign

En savoir plus →

Orthodontie adulte

En savoir plus →

Broches LightForce 3D

En savoir plus →

Dr David Benguira

Orthodontiste certifié avec plus de 20 ans d'expérience, Dr Benguira a complété sa formation en orthodontie à l'Université de Montréal après un doctorat en médecine dentaire. Spécialiste reconnu sur la Rive-Nord, il combine expertise clinique et technologies de pointe pour offrir des résultats exceptionnels à chaque patient.

Ordre des dentistes du Québec Association des orthodontistes du Québec Certifié Invisalign Certifié LightForce
En savoir plus sur Dr Benguira →
Dr David Benguira, orthodontiste à Saint-Eustache